6月23日,阜阳市第二人民医院泌尿外科成功实施输尿管记忆金属支架置入手术,为阜阳市首例,开创了阜阳市热膨胀金属支架治疗输尿管狭窄的先河。

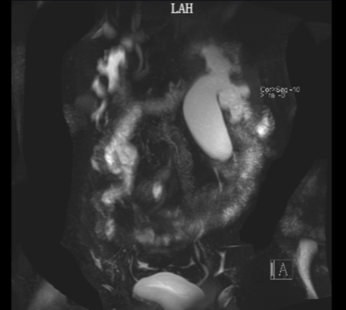
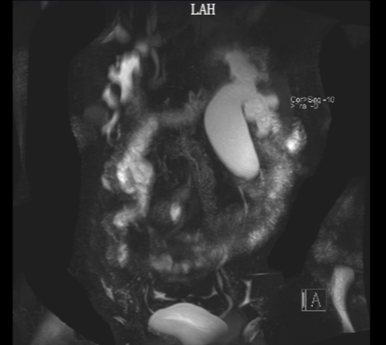
据了解,患者为45岁男性,既往20余年前因“双侧肾盂输尿管连接处狭窄”于市第二人民医院泌尿外科行双侧开放手术,术后均规律复查;1年前患者检查发现左肾积水、右肾萎缩,当时未特殊处理;2022年2月于外院查:肌酐514umol/l,予以左侧输尿管球囊扩张术,术后肌酐降至173umo/l;术后遵医嘱拔除输尿管支架。患者术后自觉反复恶心、纳差,来市第二人民医院经查:肌酐 315umol/l;MRI水成像显示:左侧肾盂输尿管连接处狭窄,右肾萎缩,肾功不全,手术指征明确;但患者有双侧开放手术史,再次行开放手术创伤大,且术后存在输尿管反复狭窄可能;长期留置并更换输尿管支架易反复感染且影响生活质量;经全科讨论并与患者及家属详细沟通后,行记忆金属支架植入手术。


术后患者恢复良好,次日复查肌酐 158umol/l,术后KUB(腹部平片检查)显示:Memokath新型热膨胀镍钛记忆合金输尿管支架,具有遇热膨胀、遇冷变软的物理特性;支架表面覆有特殊涂层,可以减少输尿管上皮细胞生长和结石的形成;且不适反应较小,能大大减轻患者痛苦、改善患者生活质量。
市第二人民医院泌尿外科作为全市第五周期临床重点学科,率先开展在全市开展严重输尿管狭窄治疗新手段,为阜阳市首例,安徽省领先。