近日,阜阳市第二人民医院呼吸介入团队在麻醉科、泌尿外科、手术室和内镜中心护理团队的协助下,成功开展首例经硬镜激光消融治疗气道肿瘤手术,标志着该院呼吸介入治疗水平再上一个新台阶。
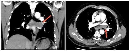
患者男性,50岁,确诊晚期肺腺癌(ALK阳性)8月余,经靶向治疗后病灶曾有吸收好转,4月18日因气喘进行性加重,再次收治市二院呼吸与危重症医学科综合病区。复查胸部CT和气管镜显示左肺门肿块突入左主支气管及左上、下叶支气管管腔,导致左主支气管管腔重度狭窄。如不积极给予处理,左主支气管一旦完全阻塞后,发生左全肺不张将加重患者呼吸困难,给后续治疗增加很大风险。

术前胸部CT
经呼吸介入团队、麻醉科多学科会诊和术前评估,建议采用经硬镜激光消融治疗。与电凝、圈套、APC比较,激光治疗对于中心气道腔内宽基底较大肿瘤组织具有消融效率高,操作时间短的优势,术中应瞄准气管解剖结构,避免出现大出血、穿孔、气道着火等风险,术前认真学习和观摩泌尿外科应用激光治疗前列腺增生手术。
4月29日,在麻醉科、泌尿外科、手术室和内镜中心护理团队的配合下,全麻状态下硬质支气管镜和奥林巴斯1T150软镜结合进入左主支气管中段,左主支气管远端可见宽基底新生物近乎完全阻塞左主支气管。在泌尿外科副主任医师王二鹏的现场指导下,全麻状态下硬质支气管镜植入左主支气管中段,左主支气管远端可见宽基底新生物近乎完全阻塞左主支气管。启动钬激光,选择钬激光功率自 20-40W逐渐升高对肿瘤组织进行消融切割,协同应用活检钳清理。经过30分钟激光消融和清理治疗,突入到左主支气管及左、下叶管腔内的肿瘤组织基本清理干净,管腔通畅。术后患者气喘症状明显缓解。



激光消融治疗气道疾病填补了市第二人民医院在此领域的空白。据了解,市第二人民医院呼吸与危重症医学科现已常规开展呼吸内镜三、四级手术,包括硬质气管镜、电子支气管镜、超声支气管镜、内科胸腔镜、气道支架植入、高频电刀、氩等离子体凝固术(APC)、球囊扩张、CO2冷冻、快速现场细胞学等技术。激光治疗技术是利用激光热效应,使受照射组织出现凝固、气化从而达到消融病变组织,激光具有方向性好、功率高、起效快,对周围组织刺激性小等优点,可用于中心气道良恶性肿瘤消融、止血、协助异物的切开、切断和取出。