近日,阜阳市第二人民医院神经外科采用微创软通道手术成功救治多例脑干出血较多患者,填补了省内地市级医院空白。
患者邓某某,男性,49岁,三合镇个体户。2021年10月15日早上6时左右,突发神志不清伴小便失禁,1小时后急诊入院。该患者曾患有高血压多年,入院时头颅CT显示脑干出血约10ml,体温36℃,血压200/110mmHg,脉搏85 次/分、呼吸14 次/分,神志昏迷,双侧瞳孔等大等圆,直径约2.0mm,对光反射迟钝。听诊两下肺可闻及干湿性鸣音,四肢肌张力偏高,双侧巴氏征阳性。经神经外科专家诊断为脑干出血,高血压病,吸入性肺炎。
入院6小时后,经积极术前准备,在全麻下实施方体定向置管脑干血肿穿刺抽吸急诊手术,术中抽出陈旧性血肿5ml,术后次日尿激酶注入,持续引流脑干血肿,术后第一天复查CT可见血肿大部分已清除。
无独有偶,患者万某某,女,57岁,颍东区退休工人,2021年11月19日晚上22时许,在打电话时突发头痛头晕,逐渐不省人事,家人拨打120急救电话,送入阜阳市第二人民医院神经外科进行救治。入院时体温36.9℃、脉搏60次/分、呼吸11次/分、血压196/95mmHg、深昏迷、查体不合作、肥胖、呼吸深慢、双侧瞳孔等大等圆约1mm、对光反射消失、疼痛刺激四肢无任何反应、双侧巴氏征未能引出。
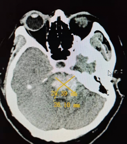
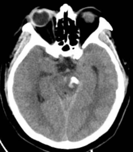
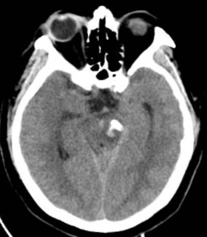
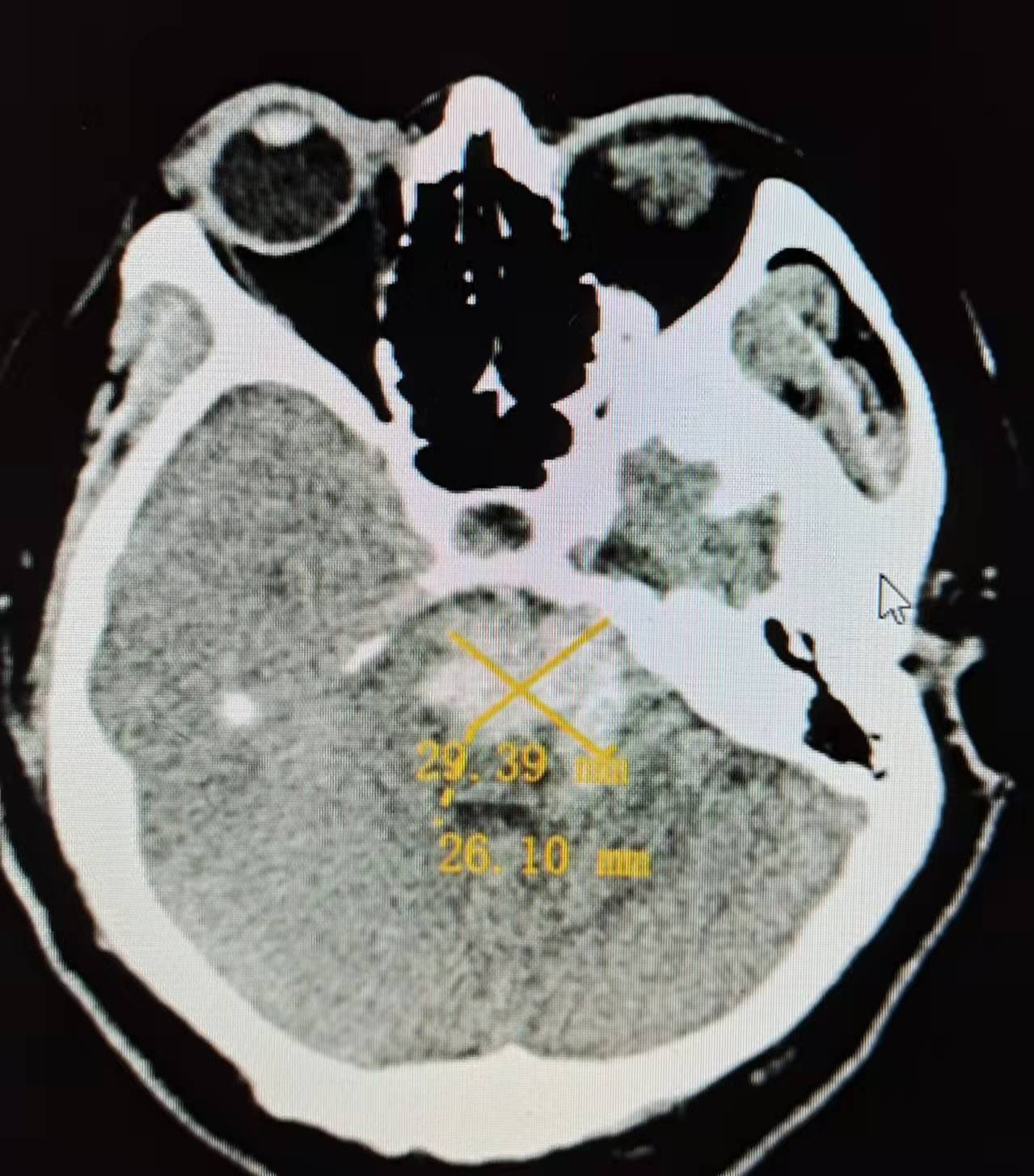
经CT检查诊断为高血压性脑干出血,出血量约13ml(图1),病情极其危重。经积极的术前准备,征得家属同意后,于住院11小时后,全麻下行经枕下脑干血肿微创置管抽吸术+侧脑室外引流术+微创气管切开急诊手术。手术历时1小时零15分钟,术后即刻复查头颅CT,见血肿清除90%(图2)。
术后第两周,呼之睁眼,术后一月神志清醒,开始早期康复治疗,目前为术后两月余,正在进行早期下床等功能训练。

图1:术前CT

图2:术后即刻CT
据阜阳市第二人民医院神经外科主任、主任医师徐敬斌介绍,大脑是人体的生命中枢,而脑干是大脑的“司令部”,负责调节复杂的反射活动,包括呼吸、心跳、血压等,以及维持醒觉。脑干出血是神经外科的急危重症,病死率极高,也是临床上最凶险、预后最差的疾病。据相关报告指出,脑干出血量大于10ml者的死亡率高达85%以上。
另据该院神经外科副主任医师、主刀医生张义彪介绍,脑干出血是全部脑出血类型中预后最差的类型,若脑干出血量<5ml,可保守治疗;若脑干出血出血量≥5ml,无论内科保守治疗,还是外科开颅手术,绝大多数患者治疗结果以死亡告终。近年来,阜阳市第二人民医院神经外科团队通过走出去、请进来、外出进修培训学习等途径,积极开展新技术、新项目、新疗法。对于脑干出血出血量≥5ml,且未发生呼吸循环衰竭、双侧瞳孔散大固定者,采用微创软通道置管抽吸的手术方式,该手术只有较小的医源性损伤,对脑干组织及周围重要结构的损伤小,手术时间短,术后恢复快。半年来,市第二人民医院神经外科团队已经应用此种手术方式成功救治了5例脑干出血患者,取得良好的治疗效果。