近日,我院心血管内科卢家忠主任团队在院领导的大力支持下,在中科大附一院安徽省立医院心内科专家的指导下,与麻醉科、超声科等多学科通力配合,在导管室和心内科科室团队的全员协作下,成功为一例高卒中风险房颤患者实施射频消融+左心耳封堵“一站式”手术。这既是我院开展的又一项新技术,也标志着我院在心脏介入方面的新技术进入皖北地区领先行列。随着我院房颤中心建设进程的发展,房颤介入治疗和综合服务也进入了新阶段、开启了新篇章。

此次病例,患者徐阿姨,70余岁,房颤卒中评分高至7分(女性大于3分为高危),为极高卒中风险人群。所谓“一人中风,全家遭殃“,卒中(俗称”中风“)会给家庭和社会经济以及医疗资源的消耗带来极大负担。心内科卢家忠主任对患者病情进行综合分析,患者合并高血压,糖尿病,冠心病合并症较多,并且多次发生过卒中,考虑口服抗凝药物治疗过程中,容易发生停药和中断,首先需要通过射频消融术来解决患者心脏节律和症状问题,但也担忧多次脑梗塞应是心源性引起,卒中评分非常高,即使射频消融术后成功,肯定无法避免需要长期抗凝的问题,同时患者合并症多,随着年龄增高,患者和家人需面临着需要终身抗凝的挑战和风险就越高。而左心耳封堵术,能够代替终身抗凝。经过与省立专家线上会诊和科室讨论,针对该患者特制定了房颤射频消融联合左心耳封堵的“一站式”治疗方案。


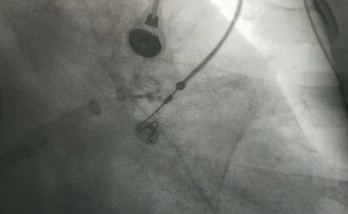
手术中,房颤消融环肺静脉完全隔离,左心耳完全封堵,手术用时仅花费3个小时,封堵和消融效果都非常完美。术后第二天徐阿姨便能下床活动,活动后无不适,并且无任何手术并发症,患者可以顺利在45天后就改变用药方案,不必再担心抗凝中断的风险。

目前,阜阳市第二人民医院房颤一站式及左心耳封堵均处于省内领先开展行列,心内科全体成员以及多学科建设正不断努力,精益求精,砥砺前行!为广大患者带来更优质便捷的医疗服务!