日前,阜阳市第二人民医院成功开展了微波消融治疗子宫肌瘤术。
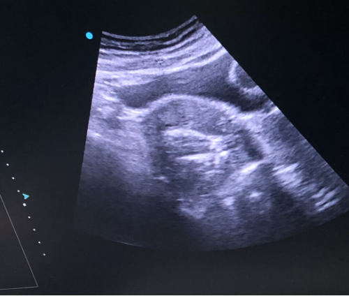
患者27岁,3年前出现月经量增多症状,同时伴有大血块、痛经。今年3月,在外院进行彩超检查时,发现有子宫肌瘤,直径约4cm,未予特殊处理。近期患者出现阴道流血,月经量增多明显伴头晕乏力,至阜阳市二院就诊,诊断为“子宫肌瘤、失血性贫血”,需手术治疗。因该患者年轻,想备孕二胎,有生育要求,又想不做手术消除子宫肌瘤,综合考虑患者需求下,经充分讨论,该院妇科团队决定对其采取子宫肌瘤微波消融术。
据该院妇科主任、主任医师朱红梅介绍,子宫肌瘤是女性生殖系统的常见病、多发病,30岁以上女性患病率高达20%左右,临床表现为月经量增多、腹痛等继发贫血,以及下腹包块、排尿困难、尿频尿急、便秘等压迫症状;有的可造成不孕、先兆流产等。子宫肌瘤给病人带来了沉重的生理和心理负担。在严重威胁女性身体健康的同时,还会影响她们的生活质量以及家庭和谐。
传统手术往往采取子宫切除术,创伤大,康复慢,使女性伤失了生育能力,乃至做母亲的权利。“子宫肌瘤术后子宫功能不受影响并保持生育能力”成为患者梦寐以求的愿望。微波消融技术治疗子宫肌瘤具有不开刀、损伤小、疗效好的特点,为大量有生育意愿、不愿或不宜切除子宫的患者带来了希望,实现了对子宫肌瘤由“切宫治疗”变为“保宫治疗”的飞跃,手术效果良好。
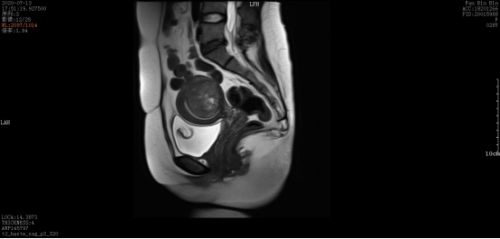
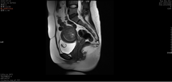
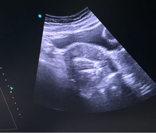
术前:


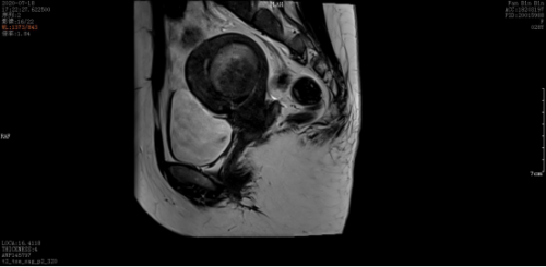
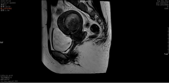
术后:


小知识:什么是微波消融?
微波消融治疗是通过消融针插入子宫肌瘤病灶内进行治疗,接近针尖的部分会释放微波磁场,使周围的分子高速旋转运动并摩擦生热,病灶局部温度迅速升高从而使病灶发生凝固、脱水坏死,从而达到治疗的目的。
微波消融后肌瘤病灶内会发生凝固性坏死,即刻超声造影就可以看到病灶内没有造影剂充填。磁共振增强扫描病灶内呈现充盈缺损,增强后呈黑色区域,表示病灶坏死区域。坏死的病灶随时间推移,会逐渐萎缩吸收,子宫体积也会有一定的缩小,从而使痛经、月经量多等临床症状得到缓解和改善。
微波针常用的穿刺路径为B超引导下经皮(经腹壁)或经阴道穿刺,对于有手术史或其他两种路径有困难时还可以选择腹腔镜监视下微波消融。穿刺孔仅有圆珠笔笔芯粗细,腹壁表面无明显疤痕。消融过程会存在一定的疼痛感,微波能量治疗时间大约10分钟左右,可以根据病情选择不同的镇痛或麻醉方式。
微波消融创伤小,恢复快,可在门诊或日间手术室或住院完成治疗。